在全球每30秒就有一名糖尿病足患者因伤口溃烂不得不截肢的今天,一项来自中国的前沿突破,正让这个“无声杀手”迎来治愈曙光!
近日,广州医科大学第五附属医院、澳门大学、中山大学中山眼科中心、香港科学再生医学与健康中心等科研团队联合,在国际权威期刊《Stem Cell Research & Therapy》上发表了一项令人振奋的研究成果:通过基因工程改造的“超级干细胞”,让糖尿病足溃烂伤口在14天内愈合率突破96%,同时对多种炎症类疾病也展现惊人疗效!

糖尿病足的生死困局
全球约有5.4亿糖尿病患者,其中四分之一可能发展为糖尿病足。这种病一旦发作,溃烂难愈,感染频发,轻则卧床,重则截肢。而被截肢后的患者,5年内的死亡率甚至高达70%。
传统治疗方法,如清创、高压氧舱、抗生素等手段效果有限,愈合率往往不足60%。因此,如何有效控制伤口炎症、促进再生修复,成为全球医学难题。

干细胞疗法的基因革新
研究团队以人体天然的“修复战士”——间充质干细胞(HUMSCs)为核心,进行大胆创新:通过基因工程,让干细胞一次性超量分泌三种抗炎因子——IL-4、IL-10、IL-13,打造出全新升级版的“MSCs-3IL超级干细胞”。
这相当于给干细胞安装了“智能GPS”和“弹药库”,不仅能精准定位炎症部位,还能火力全开、高效修复。

三大核心突破,重塑治疗范式
抗炎风暴来袭:
IL-10分泌量飙升80万倍,IL-13高达95万倍,强力消炎、快速止痛。
精准调控免疫系统:
将“坏脾气”的M1型巨噬细胞转化为“修复型”的M2型,促进组织愈合。CD206表达水平提升3倍,修复效率大幅提高。
智能可控修复系统:
在糖尿病小鼠伤口中,IL-10浓度维持稳定7天,实现炎症精准调节,避免“治愈变失控”。

14天见证医学奇迹!
在动物实验中,研究人员在直径8mm的伤口模型上观察到:
第3天:炎症细胞减少50%,疼痛明显减轻;
第7天:新血管密度翻倍,胶原蛋白沉积量为对照组3倍;
第14天:96%的伤口完全闭合,甚至实现毛囊等皮肤附件再生!
这意味着,不仅愈合速度大幅提升,而且皮肤结构的再生更完整,几乎接近自然痊愈。

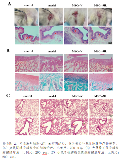
不止是糖尿病足,更是“通用型再生平台”
更令人惊喜的是,这种“超级干细胞”技术还在包括阴道炎、关节炎、肺炎在内的多种炎症疾病模型中表现出卓越效果,且安全性极高,无致癌风险,具备良好的临床应用前景。相信这不只是实验室的奇迹,而是将走进医院的现实。

总的来说,这项研究通过让干细胞同时高表达IL-4、IL-10、IL-13三种抗炎因子,大幅提升了干细胞疗法在糖尿病创面愈合与缓解多种炎症疾病方面的效果与安全性。这种多基因工程化MSC给临床带来了全新的治疗思路:既能有效抑制过度炎症,又能快速重建组织结构,为糖尿病足溃疡以及其他炎症性疾病患者提供了更多康复希望。
相信随着进一步的研究与试验推进,这种创新疗法或许将从实验室走向更广泛的临床应用,成为糖友和众多慢性炎症患者摆脱病痛的新曙光。
信息来源:Wu, D., Liu, R., Cen, X. et al. Preclinical study of engineering MSCs promoting diabetic wound healing and other inflammatory diseases through M2 polarization. Stem Cell Res Ther16, 113 (2025). https://doi.org/10.1186/s13287-025-04248-y
声明:以上内容基于该研究论文的主要发现进行通俗化解读,旨在科普传播。若需了解更多学术细节和技术流程,可查阅《Stem Cell Research & Therapy》原文。
平台旨在分享医学细胞知识,版权归原作者及原出处所有,如涉及版权等问题,请联系我们及时处理。不作相关医疗指导或用药建议,仅作参考。